分子互作在生物学的机制研究中是非常重要的一个环节。从发文章的角度来看,是否有分子互作,它决定你的文章从二区到一区以及从一区到子刊这样级别的跨越;从实用的角度来看,当证明了两个分子之间相互作用,有利于针对这个靶点来设计药物,加速临床的转化来治疗相关疾病。
1、分子互作的证明需要有以下4个点
1.证明两个分子之间是有结合;
2.找到两个分子之间结合的靶点;
3.分析分子结合之后对于它本身产生了什么影响?
4.结合之后对这个分子的下游乃至疾病的表型产生什么的影响?
2、证明分子互作基本的实验思路
1.免疫沉淀IP+质谱MS (相互作用的分子是什么)
2.免疫共沉淀Co-IP(体内间接结合)
3.GST-pull down(体外直接结合)
4.荧光共定位(体内间接结合+所在位置)
5.表面等离子共振SPR(体外直接结合+解离常数)
6.分子对接(计算机模拟结合位点)
7.突变体构建(实验证明结合位点)
8.功能验证
第1步:通过蛋白质组学、免疫沉淀、质谱等方法,去找到哪些分子可能产生相互作用,这个是我们文章的引入。
第2-5步:都是来证明分子间的结合,Co-IP能证明两分子体内是有结合的,但不确定有没有第三者参与。GST-pulldown和SPR都是证明在体外两分子是直接结合的。体内和体外实验都有的实验过程才比较完整。
第6-7步:证明结合位点。以通过构建突变体找到作用位点,还可通过构建多肽芯片和肽库筛选的方法筛选特异性结合位点以及干扰肽、封闭肽等。
第8步:功能验证较为复杂,要基于具体的实验进行设计,包括正反验证,蛋白本身功能验证,下游信号通路验证,也涉及敲低过表达分子后会不会影响细胞以及疾病的表型。
3、文献实例
实例一
以2023年发表在影响因子为25.5的《immunity》上的“Lipopolysaccharide-binding protein expression is increased by stressand inhibits monoamine synthesis to promote depressive symptoms”为例。
该文章研究的是抑郁症的单胺代谢相关,证明的相互作用的分子是LBP与DDC以及LBP与DBH的结合,其中LBP 是 DDC 和 DBH 的内源性抑制剂,抑制单胺合成,而单胺缺乏被认为与抑郁特征有关。
作者首先通过IP,LC-MS/MS以及蛋白质组学找到LBP蛋白(图1;图2;)。接着通过Co-IP(图3B;图3D)的方法向提取的血清和脑脊液中加入LBP的抗体,发现图3B中的DDC和图3D的DBH含量是明显增加的,证明LBP与DDC/DBH分子间是存在结合的。再由SPR实验(图3C;图3E)证明在体外LBP与DDC或DBH直接相互作用。作者还通过荧光共定位实验(图4)在小鼠的脑组织直观的看见LBP与DDC以及与DBH有明显的重叠。最后是功能验证(图5),通过增加LBP 剂量,检测单胺代谢的情况去验证分子功能。
图3 Co-IP和SPR
图4 荧光共定位实验
图5 功能验证
实例二
以2024年发表在影响因子为13的《cell discovery》上的“The E3 ubiquitin ligase MARCH2 protects against myocardialischemia-reperfusion injury through inhibiting pyroptosis via negativeregulation of PGAM5/MAVS/NLRP3 axis”为例。
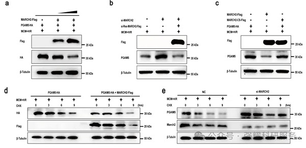
该文章研究MARCH2 介导的泛素化负向调节 PGAM5/MAVS/NLRP3 轴,以防止心肌细胞焦亡和心肌 I/R 损伤,需要证明的互作分子为MARCH2和PGAM5。
作者通过IP和MS的方法(图1)找到与MARCH2所结合的蛋白PGAM5;接着在工具细胞里面进行过表达和正常细胞表达后,通过Co-IP(图2)来检测体内结合的情况,发现它们是有明显结合。还利用了GST-pull down(图3)证明体外直接结合,以及荧光共定位(图4)证明MARCH2和PGAM5是由重叠的。结合位点的证明是通过点突变或截短突变(图5)的方法,将MARCH2的几条重要的序列分别突变掉,突变后的序列和PGAM5不能产生结合或结合减弱,则突变位点可能是结合位点。最后功能验证(图6)同样是通过过表达,敲低等方法证明
图1 IP-MS
图2 Co-IP
图5 突变证明结合位点
图6 功能验证
实例一文献DOI:10.1016/j.immuni.2023.02.002
实例二文献DOI:10.1038/s41421-023-00622-3
强耀生物可提供分子互作SPR检测,多肽芯片,肽库淘选等服务,欢迎您咨询订购。


联系我们
返回